
Psoriasis is a chronic skin disease characterized by a wave-like course.Most often, psoriasis manifests itself as a specific skin lesion, which can be located on any area of the skin.
Initial psoriasis cannot always be recognized immediately.However, this is possible if you pay attention to the characteristic symptoms in a timely manner.If you consult a dermatologist in time, the development of the rash can be slowed down and stopped.Therefore, it is important to know what signs indicate the presence of pathology.
Causes of psoriasis.Initial stage
There are no reliable facts on this matter.Psoriasis is not a fully understood disease.However, there are known factors that can contribute to its occurrence:
- genetic predisposition (among the most common factors);
- dysfunction of the immune system (also often provokes the onset of psoriasis);
- endocrine problems;
- recent streptococcal infection (sore throat)
- the presence of chronic diseases (especially inflammatory);
- bad habits such as addiction to alcohol and cigarettes;
- frequent stress.
Psoriasis can be found in people of any gender and age.However, more often people over 25-30 years old are susceptible to it.
Symptoms of the initial stage
With psoriasis at the initial stage, the symptoms are mild.However, you can notice them.
To understand how psoriasis begins, you should pay attention to the following typical symptoms:
- Increased dryness and flaking of the skin.A person feels skin discomfort in the elbows, knees, lower back, and scalp.However, these areas may differ from case to case.
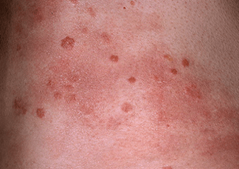
- Presence of specific rashes.Typical for psoriasis are small pinkish-red papules (flat, slightly raised rash elements above the skin level) with clear boundaries, gradually merging with each other.
- Scales on the surface of the rash.They have a silver or whitish color.They are easily removed from rashes, but this can lead to the formation of cracks or the appearance of unpleasant subjective sensations.
In some types of psoriasis (“pustular”), the rash may not be in the form of spots, but in the form of small convex formations with purulent content inside.In the photo of the initial form of psoriasis you can see how different types of psoriasis manifest themselves and their symptoms.
With nail psoriasis, the rash primarily affects the plate.In this case, the initial signs are as follows:
- the formation of small depressions on the nails (the “thimble” symptom)
- changes in the structure of the nail plate - the nail thickens and becomes brittle
- change in the color of the nail plate - the nail may acquire a yellow tint, orange-red spots appear under the nail
- thickening of the skin under the nail;
- looseness of the plate and its peeling (not always);
- small dark longitudinal lines under the nail plate (nonspecific symptom, resulting from hemorrhage under the nail plate)
- redness of the nail hole.
Photos of the symptoms of the initial stage of psoriasis will help you better navigate.
The first symptoms are quite vague and do not manifest themselves clearly.In addition, they are similar to the symptoms of some other dermatological diseases, which can lead to difficulties in diagnosis.For this reason, it is extremely important to immediately make an appointment at the hospital - for a more accurate diagnosis.
All stages of psoriasis
There are three key stages in the development of the disease:
- Initial or progressive stage.Numerous small papules appear on the skin.A distinctive feature of this stage of the disease is the appearance of rashes in areas of recent skin trauma; what psoriasis looks like in the initial stages can be seen in the photo.
- Stationary.The rashes become larger in size and begin to merge with each other, forming large plaques with unclear outlines.No new elements of the rash appear, but a large number of scales form on the surface of the rash.
- Final.The rash begins to decrease and gradually goes away on its own.It may leave behind slight pigmentation, which will disappear on its own over time, or an area of lighter color compared to surrounding healthy skin.

The question often arises - “does psoriasis itch in the initial and last stages”?For psoriasis, itching is an uncharacteristic symptom; it may not exist.
With each exacerbation, the disease goes through all three stages in order.However, if treatment is started at the very beginning of the first stage, the progression of the rash can be prevented.
For most people, symptoms are cyclical.Usually during the next outbreak they persist for several weeks, and then gradually weaken and disappear.The form of incipient psoriasis determines how photos and real symptoms look
Treatment of the initial stage of psoriasis
When you detect the first suspicious signs, you need to contact a dermatologist.
Early stage psoriasis requires minimal treatment with medications.Mainly external.
Typically used:
- Non-hormonal ointments and creams.They form the basis of therapy, since they can be used at any stage of the disease, including during remission.They act gently and often have no side effects.They relieve peeling, redness, subjective sensations and slow down inflammatory processes.
- Hormonal ointments and creams.At the initial stage of the disease, they are used, as a rule, for severe inflammation or a special type of psoriasis (exudative).These drugs can quickly cope with inflammation in the affected skin area.However, hormonal ointments and creams are not suitable for continuous use as they can cause side effects with prolonged use.Photos will best demonstrate the extent of how psoriasis begins - in both adults and children.
- Moisturizing gels and creams.Soothe and soften the skin.Can be used as additional care.
- Vitamin complexes.An additional measure to support the body's strength and resistance to disease.First of all, vitamin A is used for psoriasis, since it affects the cellular division of skin cells and the process of formation of scales.In the progressive stage of the disease, multivitamin complexes, as a rule, are not prescribed.
- Physiotherapeutic procedures.Particularly effective in the initial stages.Phototherapy (UVB or PUVA), as well as excimer exposure to UV rays and laser, are more often prescribed.
In most cases, medications are prescribed by a doctor.Several drugs can be used in combination.If the signs of the disease are mild, you can do without oral medications and use only external non-hormonal formulations.
Prevention of the initial stage of psoriasis
Preventive measures help delay the manifestations of the disease and thereby prolong the period of remission.If you follow the rules of prevention directly during an attack, they will help reduce symptoms and speed up recovery.
Key preventive measures are:
- Elimination of stress.Or its minimization.Stress greatly disrupts the functioning of the nervous system, which seriously affects the general condition of the body.To better cope with your emotional mood, you can enroll in a course of psychotherapy.Classes can be individual or group.
- Diet.The diet should be healthy, balanced and contain hypoallergenic foods.The basis of the menu is proteins, raw vegetables and fermented milk products.You should avoid junk foods like sweets and baked goods.Fried and smoked foods, spicy and too salty foods, and canned foods are also not welcome.On the Internet you can find photos of psoriasis at the beginning of the disease and after establishing a diet.
- Drink plenty of fluids.It is usually recommended to drink 1.5-2 liters of purified water per day.However, it is important to focus on your feelings and not blindly follow recommendations.
- Vitamin complexes.It is advisable that vitamins be prescribed by a doctor - after tests.
- Mode.Eating, waking up and going to bed should be on a schedule.This makes it easier for the body to maintain proper activity.It is advisable to get up and go to bed early.
- Fresh air.It is important to take walks in the fresh air every day.It reduces stress and is generally beneficial for the body.
- Skin care.It is worth regularly using emollient and moisturizing creams.Especially after water treatments.
- Comfortable clothes and shoes.Made from natural soft materials.Shoes must fit properly and clothing must be loose-fitting.
- Regular consultations with a doctor.And examinations.This will help you monitor the condition of your body and increase the likelihood of preventing psoriasis.
Thus, photos of the symptoms of skin psoriasis in the initial and subsequent stages clearly show the nuisance of this disease.Therefore, it is worth taking care of prevention.
It is important to remember that in the vast majority of cases, psoriasis manifests itself as a result of severe stress.Therefore, first of all, it is important to take care of a harmonious state of mind and daily routine.

















